Porcelain Crowns
Applied Procedures: Porcelain Crowns
P42722_ss12483bs_t P42722_ss12483ys_t
Before Photo After Photo
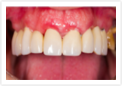
Applied Procedures: Porcelain Crowns
P42722_ss12442bs_t P42722_ss12442ys_t
Before Photo After Photo
Applied Procedures: Porcelain Crowns, Dental Bridges
P42722_ss12443bs_t P42722_ss12443ys_t
Before Photo After Photo
Appointment request
Need an appointment with a dentist in Southfield ? Requesting an appointment at our Southfield, MI family and cosmetic dental office is now easier than ever. Fill out the form below and we'll contact you to find a time that fits your schedule. Start your journey towards a beautiful smile with us today!
Patient Name*
Phone Number*
Email Address*
Are you a current patient?
Best time(s) to call?
Preferred Appt Date
Preferred Appt Time
Message
Describe the nature of your appointment or any other comments